Dance Stance
This variation of your massage stance can reduce discomfort, help conserve strength, and use your movement and body weight most efficiently during a session.
Although our understanding of how the coronavirus affects the body is still very incomplete (and changing rapidly), we do know the virus's effects vary tremendously from person to person. Some infected people have no symptoms at all; others have a cough and sore throat; some need medical care and may even die as their inflamed lungs and organs fail. Evidence is mounting that in a number of those fatal cases, it isn't the virus itself that kills the host, but rather, it is the body's own out-of-control inflammatory reactions, snowballing into a "cytokine storm" that deals the fatal blow.
So, what are cytokines and how can they kill? Does this help us understand anything about other kinds of inflammation?

When the body's immune cells detect pathogens or tissue damage, they secrete cytokines (Image 1) to signal, mobilize, and instruct other immune processes and cells. The word cytokine, in fact, comes from the Greek κύτος (kytos) or "cell," plus κινησις (kinisis) or "movement." Simplified, cytokines are cell movers.
Though cytokines are relatively simple protein molecules, their complex functioning and interactions are still being deciphered. We know cytokines can be inflammatory (turning up immune processes); anti-inflammatory (turning off inflammation); or inflammation-resolving (by signaling "next" in the progression of normally self-resolving inflammatory phases that lead toward healing). In other words, cytokines orchestrate, modulate, and time each phase of normal inflammatory progression. Except in some cases, this orchestration goes very wrong.
When a virus like COVID-19 infects the lungs, it hijacks cells there and turns them into virus factories. This damages the cells and releases inflammatory cytokines. These acute-phase cytokines have several important effects:
So far, so good—all of these inflammatory functions are healthy, normal, and needed. In most cases, the immune system's anti-inflammatory and resolution-triggering mechanisms come to bear, winding down these acute inflammatory reactions. Tissue healing progresses, sensation normalizes, and function returns.
But, for reasons we don't entirely understand, in about 15 percent of people battling any serious infection,1 the immune cycle seems to get stuck in a raging release of more and more cytokines, leading to more cell death, and even more cytokines. Perhaps related to underlying genetic defects,2 this phenomenon (first described in 1993) has been long studied in related forms such as systemic inflammatory response syndrome, cytokine release syndrome, macrophage activation syndrome, hemophagocytic lymphohistiocytosis, or cytokine storm syndrome (CSS).3 In the 1918 Spanish flu epidemic, differences in cytokine storm reactions between old and young, and between that virus and COVID-19, are thought to explain why that epidemic killed so many young people.

CSS doesn't just occur in influenza, but in other respiratory diseases caused by coronaviruses, as well, such as SARS and MERS. They are also associated with noninfectious diseases such as multiple sclerosis and pancreatitis. But whenever cytokine orchestration has turned into a cytokine storm, their normally helpful functions contribute to an escalating spiral of worsening symptoms:
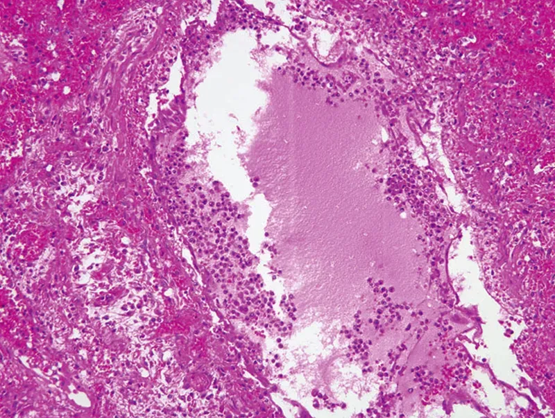
The pain, sensitivity, and fatigue from influenza's cytokines can make the host inhibit breathing and movement, so much that the concentrated and by-now toxic inflammatory soup collects in the lungs' alveoli (Image 2).
The cytokine-summoned first-responder cells are aggressive and indiscriminate in their destruction. Flooding into the tissues on the wash of leaked interstitial fluids, they use powerful enzymatic and oxidative processes to demolish both friend and foe alike (Image 3). Other cells, such as fibroblasts, simultaneously try to repair this ongoing damage, but when the cytokine-induced destruction continues, the resulting excess collagen makes tissues denser and more fibrous, further inhibiting normal perfusion and drainage.4
In musculoskeletal tissues, the plasma leakage of acute inflammation causes its characteristic swelling and redness. In lung tissue, this fluid buildup causes coughing; and if excessive or prolonged, can lead to breathing difficulties and pneumonia. What's more, capillaries damaged by the inflammatory riot can let the cytokine-rich fluids spill over into the bloodstream, resulting in systemic inflammation and multi-organ failure.5

If there's good news in the cytokine storm story, it might be that these cytokine imbalances appear to be detectable (and to some extent, treatable) in COVID-19 patients via commonly available blood tests and immunosuppressive drugs. When excessive inflammation is found in a coronavirus patient, doctors face a tricky decision about how much to suppress the immune system in the face of an active infection, but as experience dealing with this virus mounts, protocols will emerge to help guide these treatment decisions. As has happened with past epidemics, the flood of attention, awareness, and resources will increase our overall understanding of how inflammation gets out of control in other conditions. And there are many, many of those conditions: virtually all musculoskeletal complaints, the majority of chronic diseases, and a growing list of psychological and behavioral conditions are now understood to have a primary inflammatory component.
For now, many bodyworkers, manual therapists, and massage therapists are restlessly watching the COVID-19 story unfold from the sidelines. We're looking and learning while in this holding pattern, but at some point, we'll have our work to do: helping people stay healthy now has even more important implications than it used to. Immune competence is emerging as a key factor in overall health, and we have clear contributions to make there. As time passes, we will learn more about how we can support post-coronavirus recovery of both individual survivors, and of our world.
Update: As of this writing, research into inflammation's role in COVID-19 continues apace, further expanding our understanding of inflammation's mechanisms and effects. Recent developments include intensified research into rare hyper-inflammatory reactions seen in a number of children,6 and the surprising findings that nicotine users seem to suffer cytokine storm reactions less frequently than others (nicotine having powerful anti-inflammatory and immunosuppressive effects).7
1. R. Cron, as quoted in Apoorva Mandavilli, "The Coronavirus Patients Betrayed by Their Own Immune Systems," New York Times, April 1, 2020, www.nytimes.com/2020/04/01/health/coronavirus-cytokine-storm-immune-system.html.
2. Grant S. Schulert et al., "Whole-Exome Sequencing Reveals Mutations in Genes Linked to Hemophagocytic Lymphohistiocytosis and Macrophage Activation Syndrome in Fatal Cases of H1N1 Influenza," Journal of Infectious Diseases 213, no. 7 (April 2016): 1180-88, https://doi.org/10.1093/infdis/jiv550.
3. J. L. Ferrara, S. Abhyankar, and D. G. Gilliland, "Cytokine Storm of Graft-Versus-Host Disease: A Critical Effector Role for Interleukin-1," Transplantation Proceedings 25 (February 1993): 1,216 -17.
4. J. R. Tisoncik et al., "Into the Eye of the Cytokine Storm," Microbiology and Molecular Biology Reviews 76, no. 1 (2012): 16-32, https://doi.org/10.1128/MMBR.05015-11.
5. Fields Virology, 6th ed., eds. David M. Knipe and Peter M. Howley (Philadelphia: Wolters Kluwer/Lippincott Williams & Wilkins Health, 2013).
6. Russell M. Viner and Elizabeth Whittaker, "Kawasaki-like disease: emerging complication during the COVID-19 pandemic," The Lancet, 395, Issue 10239, 1741-43, https://www.thelancet.com/journals/lancet/article/PIIS0140-6736(20)31129-6/fulltext.
7. J. P. Changeux et al., "A nicotinic hypothesis for Covid-19 with preventive and therapeutic implications," Qeios, last modified April 22, 2020, accessed May 2020, https://doi.org/10.32388/FXGQSB.2.
This variation of your massage stance can reduce discomfort, help conserve strength, and use your movement and body weight most efficiently during a session.
Caring for elderly clients requires the massage therapist to have a keen awareness, not only of the characteristics unique to the client but also of the various members of the client’s care team.
Changing muscle memory habits as they relate to mobility and movement can be hard. Luckily, you are there to help clients along so they aren’t forging a new path alone.
While tension-reducing techniques can help when issues arise from forward-head posture, addressing joint restrictions through manual therapy can prove more significant.